Before and After Gallery
FEATURED SMILE OF THE MONTH
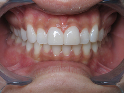
SUSAN
PORCELAIN VENEERS
UPPER AND LOWER – SEPTEMBER 2020
-
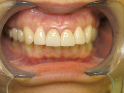
Before
Sue wanted to have a beautiful smile especially after years of wear and tear. We decided to be conservative and treat only the upper front 4 teeth. But after having her teeth cleaned and seeing her gum recession, Sue decided she wanted to do 8 teeth on the top and 8 teeth on the botom.
In Process
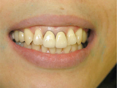
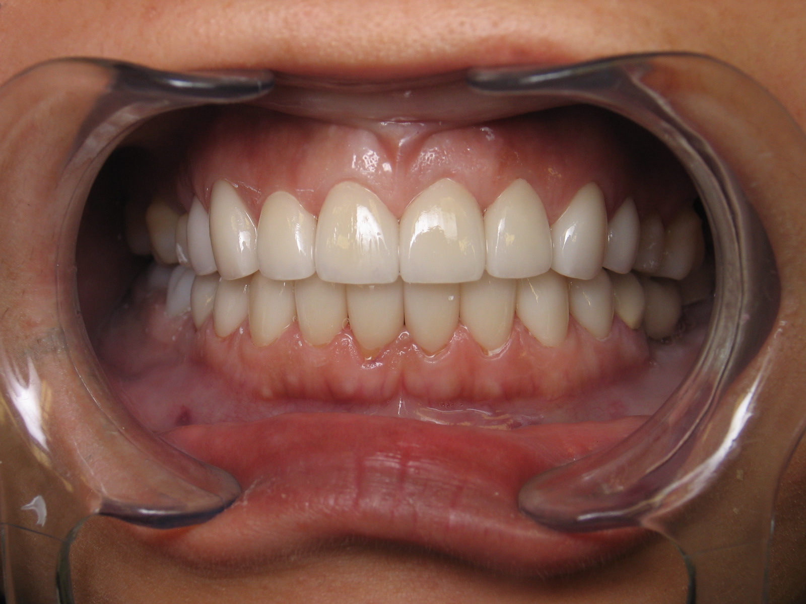
After
Sue was thrilled with her smile makeover and was so thankful to have done both the top and the bottom. She loves her new smile because she feels that it has given her so much more confidence and shows them off as often as possible.
-
Before
After
-
Before
After
-
Before
After
-
Before
After
